top of page

Siempre será bienvenido en Clínica Dental Tepeyac
Su salud en las mejores manos
Inicio: Bienvenido

Implantes

Extracción y cirugía dental

Endodoncia

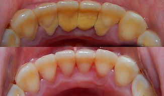
Limpiezas dentales y blanqueamiento

Restauraciones dentales

Prótesis dentales

Ortodoncia y ortopedia

Rehabilitación de ATM con guardas

Diseño de sonrisa y carillas dentales
Inicio: Nuestros servicios

Horario de servicio
Visítanos
Lunes - Viernes: 9 am - 2 pm y de 4pm - 8pm
Sábado: 9 am - 2 pm
Domingo: cerrado
Inicio: Horario de atención
Localízanos
Inicio: Contacto
bottom of page